Tratamente
Albire Dentară
Albirea dentară profesională te ajută să obții un zâmbet mai luminos și mai armonios, eliminând pigmentațiile de pe suprafața dinților. Procedura este rapidă, sigură și realizată de specialiști, într-un mediu confortabil, pentru rezultate vizibile și naturale.
Ce este albirea dinților?
Albirea dinților reprezintă procesul de deschidere a culorii dinților. Se folosește peroxid de hidrogen care reactioneaza in smaltul dintilor cu moleculele care provoacă decolorarea, făcându-le mai albe. Această procedură va face dinții cu câteva nuanțe mai deschise, dar nu alb strălucitor. Albirea dinților este considerată o procedură estetică – rareori fiind necesară. Efectele durează între 6 luni și 3 ani, pacientul putând să repete albirea anual.
Tipuri de albire dentară
Există 3 modalități principale de albire a dinților: acasă, în cabinetul stomatologic cu o lampă sau în cabinetul stomatologic cu un laser. Fiecare metodă are avantaje și dezavantaje. Toate cele trei metode folosesc peroxid, de obicei peroxid de hidrogen, pentru albirea dinților. Principala diferență constă în concentrația acestei substanțe chimice.
Albirea cu Laser
Albirea dentară activată cu laser este cea mai bună și inovativă metodă pentru albirea dinților. Necesită o singură vizită la cabinet și are mai puține efecte secundare decât alte metode.
În timpul albirii cu laser, gingiile sunt protejate cu un baraj dentar și pe dinți se aplică o soluție cu 45% peroxid de hidrogen. Un laser este aplicat pe fiecare dinte individual pentru a activa albirea, oferind dentistului mai mult control asupra procedurii decât cu lampa, astfel încât zonele cu probleme pot primi un tratament special.
Procedura durează aproximativ 30 de minute și poate fi efectuată doar în cabinetul stomatologic. La clinica Dr. Calenic oferim numai albire cu laserul, aceasta fiind cea mai eficientă metodă pentru pacienți.
Albire cu Lampa
Albirea dentară cu lampa activată a fost cel mai popular tip de albire înainte de introducerea albirii dinților pe bază de laser.
Această metodă folosește între 15-40% peroxid de hidrogen și de obicei implică 2-3 vizite scurte la clinica stomatologica. Îți poate albi dinții între 2-8 nuanțe. Va fi aplicată o protecție pentru a proteja gingiile de peroxidul de hidrogen, făcând această procedură foarte sigură și eficientă.
Principalul dezavantaj este că expunerea prelungită la peroxid de hidrogen determină o rată mai mare de sensibilitate dentară comparativ cu tratamentul cu laser și necesitatea unor ședințe multiple. Un alt dezavantaj este că lampa poate albi dinții uniform, ceea ce înseamnă că medicul dentist nu poate insista asupra zonelor cu probleme.
Albire de acasă
Albirea de acasă folosește truse cu paste, gutiere sau benzi cu 4-8% peroxid de hidrogen, albind dinții cu 1-2 nuanțe.
Există mai multe riscuri asociate și cu albirea de acasă: peroxidul de hidrogen folosit pe termen lung provoacă, de asemenea, o sensibilitate crescută și dacă este aplicat incorect vă poate arde obrajii și gingiile. Pe de altă parte, pastele de dinți pentru albire sunt abrazive dacă sunt folosite pe termen lung și vă pot deteriora smalțul.
Dacă sunt folosite cu grijă, pot fi eficiente, iar marile avantaje ale metodelor de acasă sunt prețul lor accesibil și confortul de a vă putea albi dinții de acasă.
Rezultatele Albirii Dentare
Cât de albi pot deveni dinții?
Prin albirea cu laser, majoritatea pacienților obțin o îmbunătățire între 2 și 8 nuanțe de albire. Totuși, este important de știut că rezultatul final nu poate fi prevăzut cu exactitate, deoarece nivelul inițial de colorare și compoziția minerală a dinților fiecăruia influențează semnificativ rezultatul.
Care tipuri de dinți răspund cel mai bine la albire?
Dinții galbeni: Răspund cel mai bine la albire, cu rezultate cele mai vizibile și dramatice.
Dinții gri sau maronii: Schimbarea este mai puțin vizibilă, deoarece decolorarea are de obicei o altă cauză (medicamente, carii).
Dinții deja albi: Pot fi albiți, dar nu vor experimenta o schimbare la fel de spectaculoasă.
Compoziția minerală a dinților este unică pentru fiecare persoană, motiv pentru care rezultatele albirii pot diferi de la un pacient la altul.
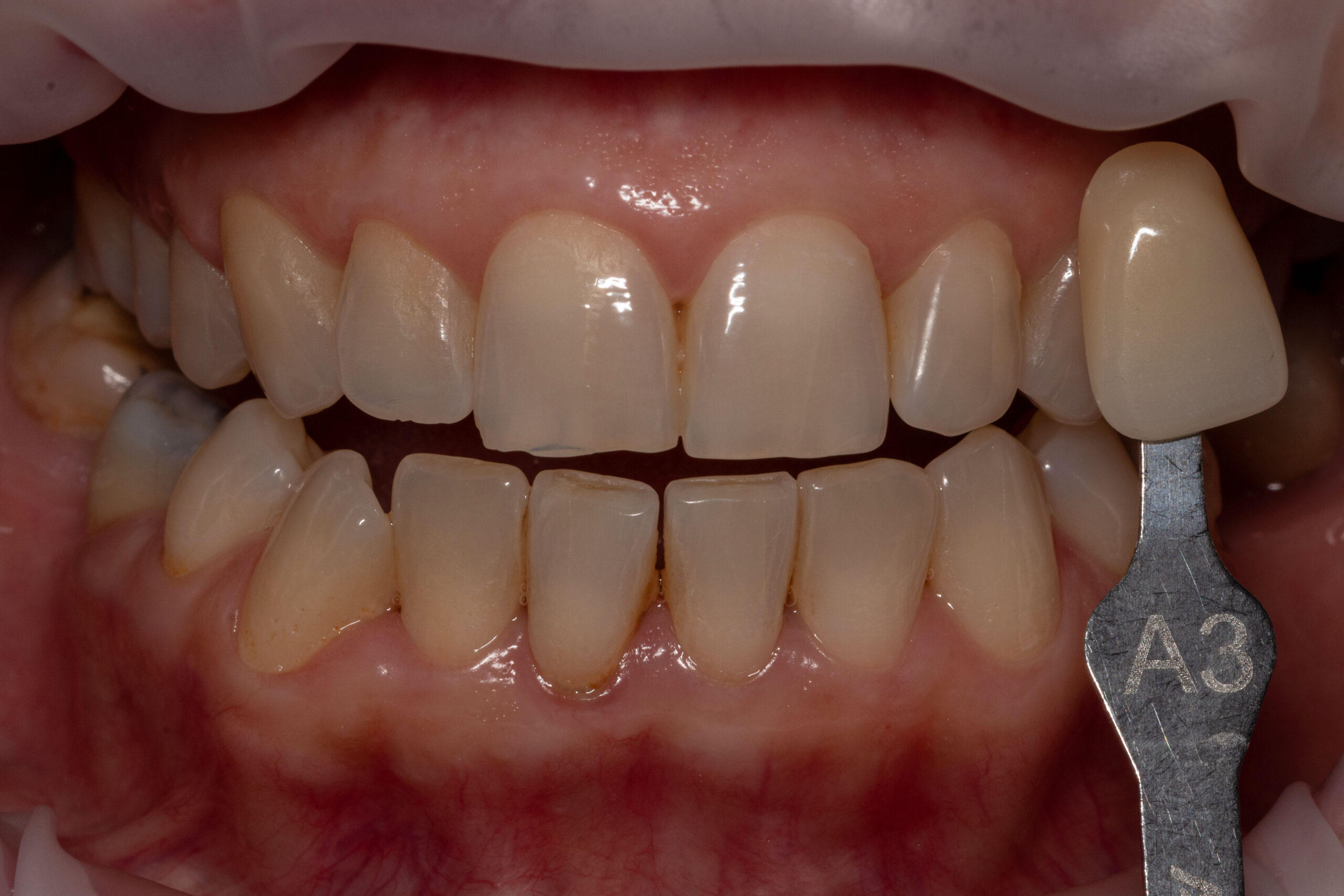
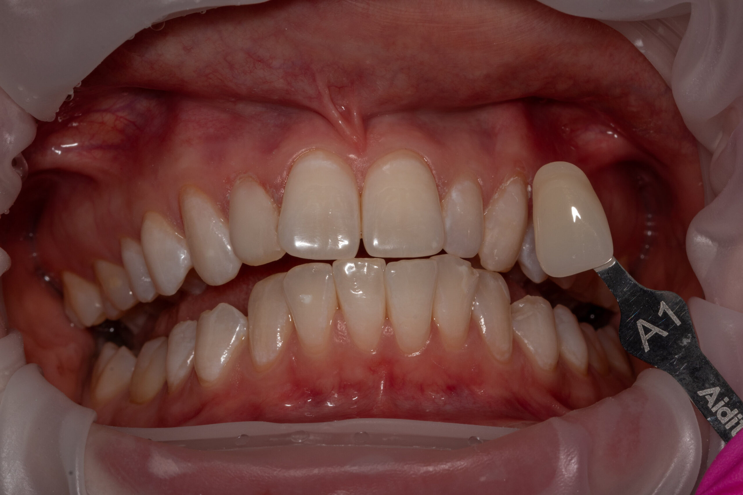
Tratamente realizate in cabinetul nostru
Înainte și după tratamentul profesional de albire cu laser
Descoperă diferența făcută de albirea dentară profesională! Urmărește în galeria noastră cum s-au transformat zâmbetele pacienților noștri în cabinet.


Întrebări frecvente
Tot ce trebuie să știi despre serviciile și experiența la cabinetul nostru
Cât durează rezultatul albirii?
Albirea dentară nu este permanentă. Rezultatele pot fi influențate de obiceiurile zilnice, cum ar fi fumatul, consumul de cafea, ceai sau fructe de pădure, care pot provoca reapariția petelor pe dinți. Cu o igienă orală atentă și rutină, efectul albirii poate dura între 1 și 3 ani. Dacă doriți să mențineți sau să reînnoiți rezultatul, procedura poate fi repetată după acest interval.
Care sunt efectele secundare?
Dacă este aplicat incorect, peroxidul de hidrogen folosit pentru albirea dinților vă poate arde obrajii sau gingiile. Acesta este motivul pentru care albirea dinților într-un cabinet stomatologic este cea mai sigură alegere, atâta timp cât exista o protectie, țesutul moale va fi protejat. Cel mai frecvent efect secundar este creșterea sensibilității dentare. In acest caz exista solutii disponibile in cabinetul nostru care remediaza problema.
Care sunt dezavantajele?
Albirea dentară nu funcționează bine pe dinții foarte albi sau pe dinții care sunt gri. Albirea funcționează cel mai bine pe dinții galbeni care au fost decolorați de alimente, băuturi sau tutun. Funcționează doar pe dinții naturali, orice obturații sau coroane vizibile nu vor fi afectate, deși dacă sunt pătate, puteți cere echipei dvs. stomatologice să le curețe.
Cui nu îi este destinată procedura de albire a dinților?
- Persoanelor sub 18 ani
- Femeilor însărcinate sau care alăptează
- Persoanelor cu dinți hipersensibili
- Persoanelor cu probleme dentare netratate sau cu afectiuni gingivale
Care sunt costurile albirii dinților in 2025?
Costurile pentru albirea dinților cu laser sunt cuprinse între 1000lei -1800 lei, important este să fiți atenți la condițiile conform cărora sunt estimate prețurile în funcție de servicii. Vechea metodă de albire cu lampa este, în general, mai puțin costisitoare, dar va necesita mai multe vizite la cabinetul stomatologic și va provoca mai multe efecte secundare. Considerăm că oferim pacienților noștri cea mai bună și mai sigură procedură, așa că oferim doar albire cu laserul Biolase și kitul de albire Biolase 20, care are o concentrație de peroxid de hidrogen de 45%. Este cea mai rapidă și cea mai eficientă metodă disponibilă și are mai puține efecte secundare decât alte metode. Prețul in cabinetul nostru este de 1200 lei, ceea ce include curățare profesională cu Airflow și acolo unde este necesar, un tratament desensibilizant dupa terminarea albirii. Totul va fi inclus într-o singură vizită, de aproximativ 1 oră.
Solicită o programare
Completează formularul sau sună-ne pentru a-ți rezerva rapid o programare.